💬 Devis gratuit WhatsApp
ImplantDentaireTunisie.fr · Guide indépendant 2026

All-on-6 en Tunisie — Arcade Complète sur 6 Implants
Prix dès 770 € — Nobel Biocare & Straumann

Retrouvez une dentition fixe et définitive sur 6 implants Nobel Biocare ou Straumann pour une stabilité maximale. La solution recommandée pour les volumes osseux réduits. Praticiens 100 % francophones à Tunis.

Chirurgiens certifiés CE
4,9/5 · +340 avis patients
Devis gratuit sous 24h
Prix Implants Dentaires Tunisie 2026
Implant unitaire complet
770 € ≈ 2 540 TND vs 1 500–2 500 € en France
Mâchoire All-on-4
3 500 € ≈ 11 550 TND vs 10 000–15 000 € en France
Mâchoire All-on-6
4 800 € ≈ 15 840 TND vs 14 000–20 000 € en France
Greffe osseuse / site
350 € ≈ 1 155 TND vs 800–1 500 € en France
★★★★★
4,9/5 · +2 000 patients européens / an

🦴 L'All-on-6 en Tunisie : Stabilité Maximale pour les Cas Complexes

La technique All-on-6 (tout sur 6) permet de remplacer l'intégralité des dents d'une arcade par une prothèse fixe permanente ancrée sur 6 implants en titane. Deux implants supplémentaires par rapport à l'All-on-4 offrent une stabilité et une répartition des forces améliorées, idéales pour les prothèses full-arch en zircone et les cas avec volume osseux réduit.

L'All-on-6 en Tunisie représente la solution premium pour les patients cherchant une stabilité maximale ou porteurs de prothèses amovibles instables. Chez Implant Dentaire Tunisie à Tunis, le même protocole qu'en France est réalisé avec les mêmes marques d'implants, à des prix 3 à 5 fois inférieurs.

🔩

4 implants, 0 dent amovible

Une prothèse hybride vissée (non amovible par le patient) repose sur 4 points d'ancrage implantaires. Stabilité totale au quotidien.

Provisoire le jour même

Dans la majorité des cas, une prothèse provisoire fixe est posée le jour de l'intervention. Vous repartez avec des dents fixes dès J1.

🚫

Souvent sans greffe osseuse

L'inclinaison à 45° des implants postérieurs contourne les zones à faible densité osseuse, évitant dans 80 % des cas une greffe préalable.

♾️

Résultat durable à vie

Les implants titane s'ostéointègrent à l'os pour une durée potentiellement illimitée. La prothèse définitive (zircone) dure 15–20 ans.

All-on-4 vs All-on-6 vs Prothèse amovible — quelle solution choisir ?

Critère 🦷 All-on-4 🦷 All-on-6 😬 Prothèse amovible
Implants / arcade 4 6 0
Prothèse fixe Oui — non amovible Oui — non amovible Non — amovible
Greffe osseuse Rarement nécessaire Parfois nécessaire Non
Provisoire J1 Oui (majorité des cas) Oui Immédiat
Prix Tunisie 3 500–5 000 € 4 900–7 000 € 350–900 €
Prix France 18 000–30 000 € 22 000–35 000 €

Pour comprendre toutes les options de reconstruction : Refaire ses Dents en Tunisie →

💶 Prix All-on-6 Tunisie 2026 — Tarifs en € et en Dinars

Traitement Tunisie (€) Tunisie (DT) 🇹🇷 Turquie (€) Économie
All-on-6 — 1 arcade (provisoire résine) 4 900–7 000 € 22 400–27 200 DT 22 000–28 000 € ✅ Économie 13 500–19 500 €
All-on-6 — 1 arcade (prothèse zircone définitive) 4 900–7 000 € 27 200–35 200 DT 26 000–36 000 € ✅ Économie 15 000–25 000 €
All-on-6 — 2 arcades complètes 9 800–14 000 € 44 800–70 400 DT 44 000–72 000 € ✅ Économie 22 000–50 000 €
Greffe osseuse si nécessaire 240–600 € 1 280–2 880 DT 1 800–3 500 € ✅ Tunisie moins chère
Scanner CBCT 3D (bilan pré-implant) Inclus Inclus 150–300 € ✅ Offert chez Implant Dentaire Tunisie

* 1 € ≈ 3,20 DT. Prix indicatifs 2026. Le scanner CBCT et la consultation initiale sont inclus dans le devis.

Avant All-on-4 Tunisie – arcade édentée patient 1 Implant Dentaire Tunisie
Après All-on-4 Tunisie Nobel Biocare – prothèse zircone fixe résultat Implant Dentaire Tunisie
AvantAprès
🦴 All-on-4 arcade maxillaire — prothèse zircone
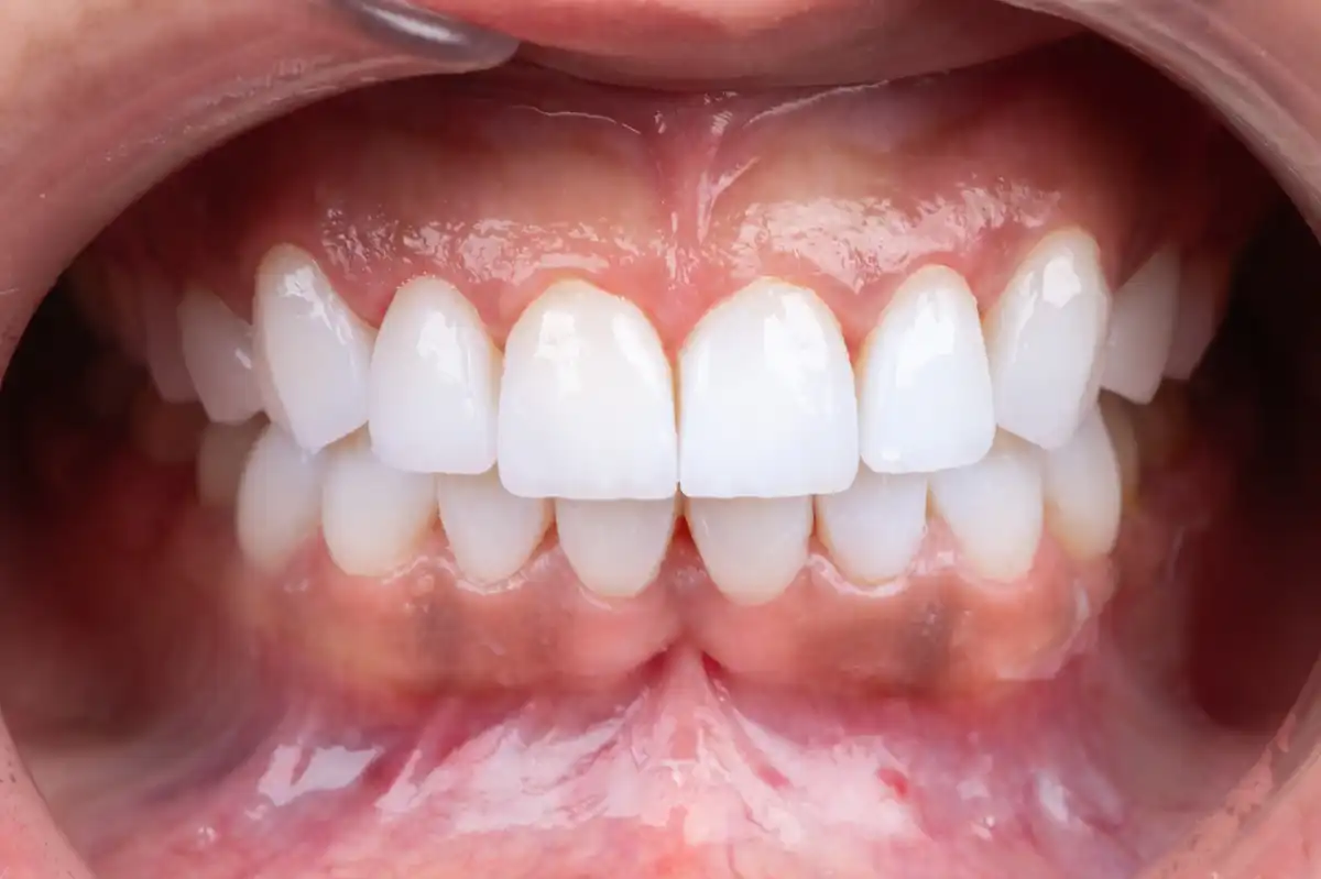
Avant All-on-4 Tunisie – prothèse amovible instable patient 2 Implant Dentaire Tunisie
Après All-on-4 Tunisie – 2 arcades fixes résultat Implant Dentaire Tunisie Tunis
AvantAprès
🦴 All-on-4 double arcade — résultat naturel
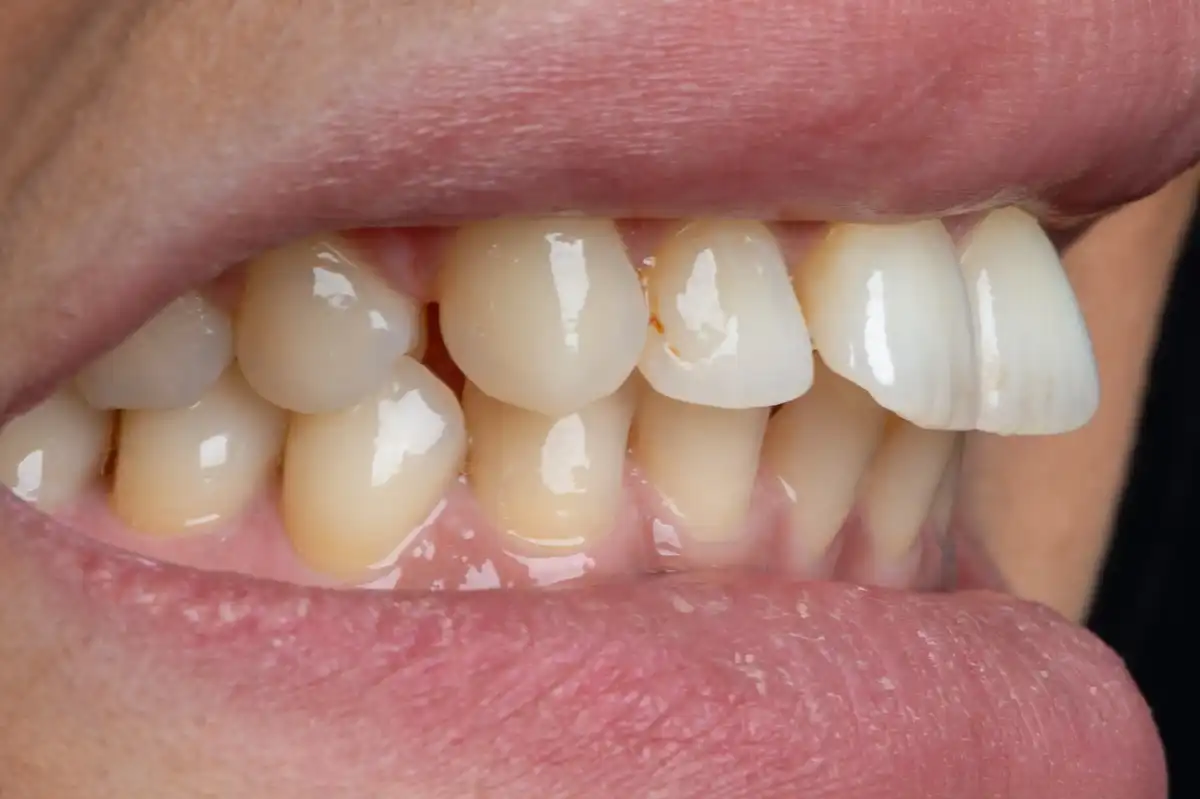
Avant All-on-4 Tunisie – parodontite avancée multiples extractions patient 3 Implant Dentaire Tunisie
Après All-on-4 Tunisie – extraction + implants immédiats arcade mandibulaire Implant Dentaire Tunisie
AvantAprès
🦴 Extractions + All-on-4 immédiat — mandibule
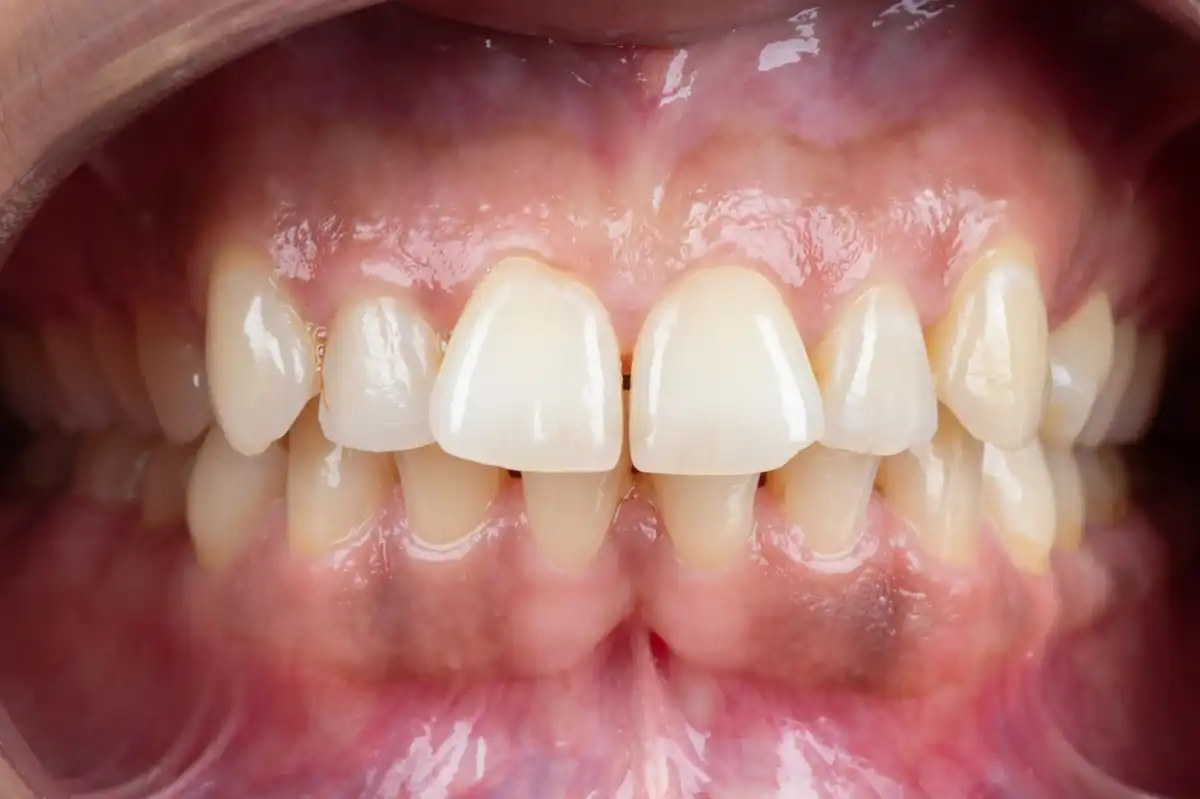
All-on-6 Tunisie — photo initiale avant traitement Implant Dentaire Tunisie

🗓️ Déroulement du Traitement All-on-6 en Tunisie chez Implant Dentaire Tunisie

Le traitement All-on-6 se déroule en 2 séjours : le premier pour les extractions + pose des 6 implants + prothèse provisoire, le second pour la prothèse définitive zircone après ostéointégration (4–6 mois).

Consultation & Scanner CBCT 3D (Jour 1)

Analyse complète du volume osseux, des nerfs, des sinus. Planification implantaire numérique. La faisabilité All-on-4 sans greffe est confirmée ou infirmée lors de cette étape.

Extractions des dents non conservables (Jour 2–3)

Les dents condamnées sont extraites en douceur. Dans le protocole All-on-4 immédiat, les implants peuvent être posés lors de la même séance.

Pose chirurgicale des 6 implants (Jour 2–4)

Intervention sous anesthésie locale (ou sédation consciente). Les 6 implants sont vissés selon le plan 3D : 2 antérieurs droits + 4 postérieurs (droits ou inclinés selon la densité osseuse). Durée : 3–4 heures par arcade.

Pose de la prothèse provisoire fixe (Jour 3–4)

Une prothèse résine provisoire est vissée sur les implants. Vous repartez avec une arcade complète fixe. Régime alimentaire mou pendant 2–3 mois.

Ostéointégration (4–6 mois)

Les implants fusionnent avec l'os mandibulaire ou maxillaire. Phase silencieuse. Suivi à distance par notre équipe via WhatsApp.

Prothèse définitive zircone (Second séjour 5–10 jours)

Empreintes numériques, fabrication de la prothèse zircone haute résistance, ajustements et vissage définitif. Résultat final esthétique et fonctionnel pour 15–20 ans.

💡 Candidats idéaux pour l'All-on-4 : Patients édentés totaux ou quasi-totaux, porteurs de prothèses amovibles instables, patients avec parodontite avancée nécessitant de nombreuses extractions. Un scanner CBCT est indispensable pour confirmer l'éligibilité.

👉 Pour la reconstruction de dents individuelles : Implant Dentaire Unitaire Tunisie →

👉 Si vous souhaitez également des facettes sur les dents conservées : Hollywood Smile Tunisie →

Quel est le prix d'un All-on-4 en Tunisie ?

Le prix d'un All-on-4 en Tunisie chez Implant Dentaire Tunisie varie entre 3 500 et 5 000 € par arcade, incluant les 6 implants Nobel Biocare ou Straumann et la prothèse hybride fixe. En Turquie, le même traitement coûte 22 000 à 35 000 €. En France, les tarifs dépassent souvent 30 000 € par arcade.

Combien de temps dure un séjour All-on-4 en Tunisie ?

Un séjour All-on-4 en Tunisie dure en général 10 à 14 jours. Le premier séjour comprend le scanner CBCT, les extractions si nécessaires, la pose des 4 implants et la mise en place d'une prothèse provisoire fixe. La prothèse définitive est posée lors d'un second séjour court (3–4 jours) 4 à 6 mois plus tard.

Le All-on-4 est-il douloureux ?

L'intervention est réalisée sous anesthésie locale ou sédation consciente selon le confort du patient. Pendant l'opération, il n'y a aucune douleur. Les suites postopératoires sont maîtrisées par antalgiques et anti-inflammatoires : gonflement modéré pendant 3 à 5 jours. La majorité des patients reprend une activité normale en 5 à 7 jours.

Quelle est la différence entre All-on-4 et All-on-6 ?

L'All-on-4 repose sur 4 implants par arcade, dont 2 inclinés à 45° pour éviter les greffes osseuses. L'All-on-6 utilise 6 implants pour une stabilité accrue, recommandé en cas de volume osseux insuffisant ou pour des prothèses full-arch zircone plus volumineuses. Le choix dépend du bilan 3D réalisé chez Implant Dentaire Tunisie.

Qui sont les candidats idéaux pour un All-on-4 ?

Les candidats idéaux sont les patients édentés totaux ou porteurs de prothèses amovibles instables, les patients avec de nombreuses dents à extraire (parodontite avancée, caries multiples), et ceux dont le volume osseux permet d'éviter une greffe. Un scanner CBCT préalable est indispensable pour confirmer l'éligibilité.

📩 Demandez Votre Devis Gratuit — Implant Dentaire Tunisie

Transformez votre sourire dès aujourd'hui

Notre équipe médicale analyse votre cas gratuitement et vous propose un plan de traitement personnalisé sous 24h.

  • 📞
    Téléphone / WhatsApp
    +33 6 66 36 48 06
  • 📧
  • 📍
    Implant Dentaire Tunisie
    Tunis, Tunisie
    El Manar 2
  • 🕐
    Horaires d'ouverture
    Lun – Sam : 08h00 – 20h00
    WhatsApp & Email : 7/7
Écrire sur WhatsApp

🦷 Demande de devis gratuit — Implant Dentaire Tunisie

📷 Ajoutez vos photos de sourire (optionnel mais recommandé)

Des photos claires sous bonne lumière permettent à notre équipe médicale d'établir un devis précis. Formats acceptés : JPG, PNG, HEIC — 5 Mo max.

💡 Conseil : photos sous lumière naturelle, bouche légèrement ouverte, haute résolution.

✅ Votre demande a bien été envoyée ! Notre équipe Implant Dentaire Tunisie vous répond sous 24h avec votre plan de traitement personnalisé.

🔒 Vos informations et photos sont strictement confidentielles et ne seront jamais partagées avec des tiers.